Special Considerations for Fillings with Primary and Permanent Bicuspids
Although some primary teeth look like their permanent successors, they are not permanent in miniature. The developer of...
When Your Bicuspid Hurts: Why You Should Visit A Thornhill Dentist
Experiencing pain in your bicuspid can be a troubling sign that something isn't right with your oral health. Whether it's ...
What Happens When a Tooth Infection Reaches the Bone?
Rarely, the infection can become systemic, affecting multiple tissues throughout the body. You could also be at risk of...
Why Veneer Dentistry In Texas Is The Perfect Solution For Bicuspids
Veneer Dentistry in Texas offers an ideal solution for individuals seeking to enhance the appearance of their bicuspids....
Finding The Perfect Dentist In Austin, TX, To Preserve Your Precious Bicuspids
Finding the perfect dentist to preserve your precious bicuspids can be a daunting task. With so many options available in ...
How Dental Implants Can Restore Missing Bicuspids In Dripping Springs
If you are missing one or more bicuspids, you may feel self-conscious about your smile and experience difficulty chewing...
Cracked Or Chipped Bicuspids? Why Immediate Care From An Ashburn Dentist Is Important
The bicuspids, or premolars, are essential workhorses of the mouth, playing a critical role in chewing and maintaining...
The Difference Between Primary and Permanent Bicuspids
The primary dentition consists of 20 teeth, while the permanent dentition consists of 32 teeth. Each of the primary...
Eating with Primary and Permanent Bicuspids: What You Need to Know
Have you ever bitten off more than you can chew? Thanks to their molars and premolars, children's teeth that never come...
What To Do When Your Bicuspids Hurt: Expert Dental Care In Basel
When you experience discomfort in your bicuspids, it can be a sign of underlying dental issues that need attention. These ...
Smile With Confidence: How Dental Implants Can Restore Your Bicuspids In McGregor, Texas
Dental implants have become a popular option for those seeking to restore missing teeth. With advancements in dental...
The Significance Of Bicuspids In Maintaining Long-Term Dental Implants In Georgetown
Dental implants have become an increasingly popular option for replacing missing teeth due to their natural look and...
How Bicuspids Impact Your Smile: Insights From A Top Orthodontist In Commerce City
Your smile is a powerful tool. It can convey warmth, confidence, and approachability.
Preventing Decay in a Bicuspid: How to Stop and Reverse Tooth Decay
Tooth decay can be halted or reversed at this stage. Saliva and fluoride from toothpaste or other sources can help enamel ...
Does the Permanent Dentition Include Total Bicuspids?
The permanent dentition is made up of 32 teeth, 16 in the upper jaw and 16 in the mandible. It consists of four incisors, ...
Preventing Milk Tooth Decay in Children: A Guide for Parents
Preventing milk tooth decay in children is crucial for ensuring their long-term oral health. Milk teeth, also known as...
Revitalize Your Smile With Restorative Dentistry Implants In Austin, TX: Bicuspid Edition
Are you tired of feeling self-conscious about missing or damaged teeth? Do you avoid smiling or laughing in public...
Mixed Dentition Period: When Primary and Permanent Teeth Coexist
The mixed-dentition period is a stage in a person's life when both primary and permanent teeth are present. During this...
Understanding Bicuspids and Their Role in Dental Health
What Are Bicuspids and Why Are They Important?Bicuspids, also known as premolars, are critical components of your dental ...
Root Canals in Primary and Permanent Bicuspids: Special Considerations
The presence of accessory roots in the primary dentition is rare, and comprehensive knowledge of dental anatomy is...
The Importance Of Root Canal For Bicuspids And How Austin Dentists Can Help
Root canal treatment is a crucial dental procedure that can save a tooth from extraction. It is a highly effective...
Orthodontic Considerations for Primary and Permanent Bicuspids
If necessary, comprehensive orthodontic treatment is recommended for primary and permanent bicuspids. The second...
How Often Should a Bicuspid Aortic Valve Be Cleaned and Maintained?
It's essential to take preventive measures to avoid potential infections of the valves or heart. This includes taking...
When Your Bicuspids Strike: Handling A Dental Emergency In San Diego
When sudden pain strikes your mouth, it’s often your bicuspids—those crucial teeth between your molars and...
Summerville Pediatric Dentists: Setting The Stage For Healthy Bicuspids
Pediatric dentists play a crucial role in children's dental health, focusing on preventive care and early intervention....
Beyond Chewing: How Bicuspids Contribute To The Success Of Dental Implants In Pflugerville
When it comes to dental health and restorative treatments like dental implants, understanding the role of our bicuspids...
Understanding Bicuspids and Braces: Expert Orthodontic Care in Fort Walton Beach
What Are Bicuspids and Why Do They Matter?Bicuspids, also called premolars, are the teeth located between your canines...
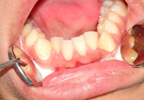
Treating an Infected Bicuspid: What You Need to Know
When it comes to treating an infected bicuspid, medications can be used to manage symptoms caused by heart valve disease. ...
Brushing Primary and Permanent Bicuspids: What You Need to Know
Have you ever bitten off more than you can chew? Thanks to their bicuspids, molars and premolars. The primary molars are...
What are Bicuspid Teeth and How Do They Differ from Other Teeth?
The bicuspids are the teeth that lie between the molars and the canine teeth. They have two cusps, which gives them their ...
What are the Symptoms of an Infected Bicuspid Tooth?
If you're experiencing gradual worsening of symptoms, it's important to see a healthcare provider as soon as possible....
Why Bicuspids Play An Important Role In Braces Treatment In London
Bicuspids, also known as premolars, play a crucial role in orthodontic treatment. Braces are an effective solution for...
The Risks of Untreated Infected Bicuspid: What You Need to Know
About one in three people have a bicuspid aortic valve, which is a heart valve with two leaflets instead of three. This...
Why Your Bicuspids Matter: Insights From An Austin, TX Dentist
Why Your Bicuspids Matter: Insights From An Austin, TX DentistIf you've ever visited a dentist, you've probably heard...
Types of Bicuspids: A Comprehensive Guide
The bicuspids, also known as premolars, are the teeth found between the canines (the pointed teeth found after the 4...
How Does A San Antonio Dental Clinic Restore And Enhance The Functionality Of Your Bicuspids?
Are you experiencing discomfort or difficulty chewing due to issues with your bicuspids? A San Antonio dental clinic may...
Why Dental Implants Are The Ideal Solution For Replacing Missing Bicuspids In Austin
Did you know that nearly 178 million people in the United States are missing at least one tooth? Among these missing...
How Size and Shape of Teeth Determine Their Function
Teeth play a vital role in our overall health and well-being, influencing not only our ability to chew and speak but also ...
Brighten Your Smile: How Veneers Improve The Appearance Of Bicuspids In Sydney
Veneers are a popular cosmetic dental treatment in Sydney for enhancing the appearance of bicuspids. Made of porcelain or ...
What is the Difference Between Primary and Permanent Molars Roots?
The molars of the primary teeth have the same number of roots as the permanent molars, but their crowns have a more...
Bicuspids In Distress: Seeking Urgent Care From A Dental Emergency Dentist In Rockville, MD
In moments of dental distress, the need for urgent care becomes paramount, especially when bicuspids encounter unexpected ...
Do I Need a Dental Crown After a Root Canal?
After a root canal, a dental filling may be enough to restore the tooth. However, if the front tooth has been discolored...
Invisalign Magic: Enhancing Bicuspids And Beyond In Taylor, TX
A life-changing experience awaits people looking to improve their smiles and increase their confidence in the picturesque ...
From Decay To Renewal: Restoring Bicuspids With Dental Crowns In Loudoun County
Dental crowns, also known as caps, offer a reliable and aesthetically pleasing solution to restore both the functionality ...
Mixed Dentition: Understanding the Combination of Primary and Permanent Teeth
Baby teeth, also known as deciduous teeth, are the first set of teeth to appear in a person's mouth. They usually start...
The Different Shapes and Sizes of Bicuspids
Teeth come in a variety of shapes and sizes, each with its own purpose. Canine teeth, for example, are sharp and almost...
How A Premier Dental Clinic Can Help With Common Bicuspid Issues In Monroe
Bicuspid teeth play a crucial role in your mouth, aiding in chewing and maintaining the structure of your jaw. However,...
Treating an Infected Tooth Bone: A Comprehensive Guide
Treating an infected tooth bone is a serious matter that requires prompt attention. Left untreated, the infection can...
Don’t Ignore Bicuspid Pain: When To Visit A Dentist In Claycomo
Experiencing pain in your bicuspids, which are the premolar teeth located between your canines and molars, can be more...
Do Premolars or Bicuspids Serve the Purpose of Chewing and Grinding Up Food?
Also called bicuspids, the premolars are located between the canines and the molars (the teeth at the back of the mouth). ...
Helotes Dentist's Guide To Caring For Your Bicuspids: Tips For A Bright Smile
Caring for your bicuspids is essential for maintaining a bright and healthy smile. These back teeth, also known as...
The Role of Bicuspids in Chewing Food
Bicuspids, or premolars, play a pivotal role in the process of chewing food, a fact emphasized by a local bilingual...
The Benefits Of Correcting Your Bite With Bicuspids And Invisalign In Cedar Park, TX
Bite problems are a common issue among people of all ages. Misaligned teeth and jaws can cause discomfort, difficulty in...
How To Keep Your Bicuspids Healthy: Tips From A San Antonio Periodontist
Maintaining good oral health is essential to prevent a wide range of dental problems, including decay and damage to...
What Foods Should Not Be Chewed With a Bicuspid Tooth?
If you're looking for help to quit smoking, it's best to speak with your doctor about smoking cessation programs and...
Bicuspid Care: A Guide To Finding The Right Dentist In Cedar Park, TX
Do you live in Cedar Park, TX, and need to find a dentist who specializes in bicuspid care? If so, you’ve come to the...
Straightening Your Smile: How Invisalign Can Help Correct Bicuspid Misalignment In Austin
The alignment of teeth plays a significant role in the overall appearance and functionality of an individual's smile....
Dental Implants And Bicuspids: Restoring Confidence In Cedar Park, TX
When we think about a confident, radiant smile, our thoughts often turn to the front teeth - the incisors and canines....
Understanding The Benefits Of Dental Implants For Bicuspids In Waco, TX
Why are bicuspids so crucial for dental health?The answer lies in their role as essential chewing teeth, which help...
Cosmetic Dentistry For Bicuspids: A Complete Guide For Austin, Texas Residents
Cosmetic dentistry has become increasingly popular in Austin in recent years, with many people seeking to improve the...
Transform Your Smile With Dental Implants: A Game-Changer For Missing Bicuspids In San Antonio
Are you tired of feeling self-conscious about your missing bicuspids? Do you dream of having a complete, confident smile...
Alternatives To Tooth Removal: Exploring Options For Preserving Bicuspids In Sydney
In Sydney, the preservation of bicuspids has become an increasingly important topic in dental care as patients seek...
The Importance Of Immediate Care: Emergency Dentist For Bicuspids In Gainesville, VA
When it comes to dental emergencies, one cannot underestimate the importance of immediate care. Whether it's a sudden...
Keep Your Bicuspids In Top Shape With These Tips From A Compassionate Dentist In Waco
Having healthy teeth and gums is an important part of overall health, but it can be difficult to know how best to care...
Emergency Pediatric Dentists In Ashburn, VA: Handling Bicuspid Emergencies With Care
In Ashburn, VA, emergencies can arise unexpectedly, including dental emergencies involving the bicuspids in children....
What is the Difference Between a Bicuspid and a Molar Tooth?
Understanding the anatomy of teeth is essential for maintaining good oral health and making informed decisions about...
Enhancing Oral Health With Dental Implants: A Solution For Missing Bicuspids In Round Rock
In a world where missing bicuspids can hinder one's oral health, dental implants emerge as a solution that promises to...
Missing Permanent Teeth: What Are the Special Considerations for Braces with Primary and Permanent Bicuspids?
The orthodontic condition is mild and is best treated when the child has all of their permanent teeth (monophasic...
Cleaning and Maintaining Primary and Permanent Bicuspids: A Comprehensive Guide
As can be seen in the table, the first teeth begin to cross the gums around 6 months of age. Usually, the two lower...
Beyond Brushing: How Edmonds Dentists Can Ensure Optimal Bicuspids Health
While brushing is an essential part of any dental routine, many people are unaware of the unique needs and challenges...
What are the Eight Bicuspid Teeth?
It has two bicuspids on the top and two on the bottom, on each side of the mouth (a total of eight). The bicuspids have a ...
Bicuspids And Orthodontics: How Mansfield Dentists Can Improve Your Smile
The appearance of one's teeth plays a crucial role in their overall physical and emotional well-being. Misaligned or...
The Benefits Of Replacing Bicuspids With Teeth Implants In Holborn Camden London, W1
If you're missing one or more teeth, you're not alone. Millions of people worldwide suffer from tooth loss due to decay,...
What is the Difference Between Primary and Permanent Bicuspids?
Of the primary teeth, there are twenty, while permanent teeth are twenty-eight to thirty-two. Bicuspids and third molars...
Beyond Decay: When Bicuspids Need Dental Crowns In Manassas Park
A smile is a powerful expression, and it's essential to ensure that every aspect of your dental health contributes to its ...
Caring for Primary and Permanent Bicuspids: What You Need to Know
Caring for both primary (baby) and permanent bicuspids is a crucial aspect of dental health, particularly for those...
Finding Relief: How A TMJ Treatment Provider In Austin Can Help Alleviate Bicuspid Pain
Are you tired of the relentless ache in your bicuspids? Seeking relief from TMJ disorders can be a daunting task, but...
Creating A Positive Dental Experience: How A Pediatric Dentist In McGregor, TX Makes Bicuspids A Breeze
Creating a positive dental experience is essential for children as it sets the foundation for their future oral health...
Restore Your Bite: Honolulu Dental Bridges For Missing Bicuspids
Missing bicuspids can affect not only the appearance of your smile but also your ability to chew, speak, and maintain...












































































